全瓷贴面要多少钱
 来源:武汉清华阳光口腔门诊部   爱牙热线:027-8422 8066    2017-05-18 09:40:40 | 在线咨询 | 预约医生 
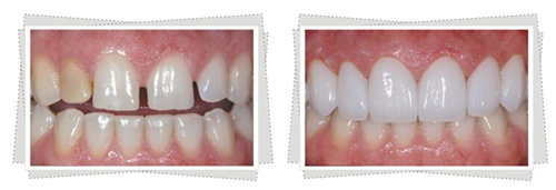
          美丽的牙齿会让你的美貌加分,但是常常因为一些主观因素和客观因素导致牙齿出现不同程度的着色现象,需要做牙齿美白。瓷贴面是一种比较先进的美牙技术,受到很多美牙者的喜爱。>>我的情况适合做全瓷贴面吗?点击咨询医生<<
	
那么,做全瓷贴面要多少钱呢?
1、与修复数量相关。全瓷贴面修复牙齿的个数是影响贴面价格的一个重要因素。患者不同的美白需求和牙齿情况,需要美白修复的牙齿个数是不一致的,这会很大程度上影响贴面费用。
2、与医院级别相关。不同的医院,拥有的医生与设施都是不一样的。一般情况下,越是正规的医院,所拥有的技术及医生的操作水平就越高,所以在费用的收取上也会有所不同。但这样制作的瓷贴面的质量和效果都会有保障。>>武汉哪里做牙齿全瓷贴面好?<<
	
瓷贴面美白牙齿有哪些优势?
优势一:健康不磨牙:更大限度的保护了牙体组织,不会刺激牙龈,可以保持天然牙齿长期的健康。
优势二:颜色效果更好:牙体预备时只需平牙龈即可,对牙龈的刺激非常小,也不会存在金属烤瓷牙的金属离子使得牙龈变色的问题。
优势三:美观、效果久:具有良好的透明性和遮光性,因不含有任何金属成分,美学效果绝佳,瓷贴面本身的高耐磨性和不着色可以达到长期的美白效果。
优势四:舒适不脱落:瓷贴面修复保存大部分甚至全部舌侧的形态,很好的保护了对颌牙。
	
>>我的情况做全瓷贴面要多少钱?直接咨询武汉清华阳光口腔医生<<
温馨提示:除了美白牙齿,对那些不正常的牙齿发育,例如过小牙,个别牙不齐,牙间隙宽,釉质发育不全等,都能够通过瓷贴面修复后把牙齿的形态和颜色恢复到理想状态。

















